の歯医者、歯科医院[ include("inc/clinic_name.inc"); ?>]です。"> ,歯科,歯医者, include("inc/clinic_name.inc"); ?>"> ">

白く美しい歯はチャーミングな笑顔をいっそう魅力的に引き立てます。しかし、歯や歯茎の色などが気になり普段会話するときや微笑むときにもつい口元を隠してしまうなどお悩みの方もいらっしゃいます。審美(美容)歯科とは歯と歯茎をきれいにする治療法です。 このコーナーでは「ラミネートベニア法」と「歯肉のメラニン色素除去」の2つの審美(美容)歯科の治療方法をご紹介致します。


歯を白くし、歯と歯の間の隙間などを整えるための治療法です。
歯の表面をごく薄く削って、セラミックを貼る方法です。歯の表面のエナメル質内で【歯にダメージを与えない範囲(0.3~0.5ミリ)】で削り、セラミック製の薄いプレートを貼り付けることで、歯を美しくでき、歯の内部まで色素が沈着している変色歯も、この方法で白くすることができます。
治療は2回ほどで終わります。
治療前の写真です。歯の色が気になります。
ラミネートベニア法による治療後の写真です。
白く美しい自然な歯に生まれ変わりました。
口元を気にしない素敵な笑顔を取り戻せました。

・もともとメラニン色素が多く、歯肉が黒ずんでいるケース
・喫煙等で歯肉が黒ずんでいるケース・・・など歯肉の黑ずみが気になる方。
※写真は薬液法です。その他 レーザー法と切除法があります。
メラニン色素除去前
歯茎の黒ずみが気になります。
術中
専用の薬液をつけて、色のついた組織を除去しています。
メラニン色素除去後健康的で綺麗な歯茎になりました。





歯周病や虫歯の発症、再発予防、口腔健康維持のためには、
・ホームケア
・プロフェッショナルケア
が大切です。
ここではPMTC(プロフェッショナル・メカニカル・トゥース・クリーニング)という専門家による機械的な歯面清掃をご紹介致します。

煙草・コーヒー・ワインなどの着色は、そのままにしておくと、歯垢が溜まりやすくなってしまいます。
これらも、PMTCをすることによって歯の表面が滑沢になり、歯垢の付着しにくい歯になり、見た目もきれいにすることができます。

(クリーニング前)普段は気が付きにくい歯の裏側ですが歯垢や汚れが付着しています。
(PMTCによるクリーニング後)汚れや歯垢がきれいに取れているのがわかります

「ホワイトニング」はその名の通り、歯を白くする事。
ここで言う「ホワイトニング」は、過酸化水素の含まれる薬剤により人工的に歯を白くする事です。 歯科クリニックで行う「オフィスホワイトニング」と状況に応じてホームホワイトニングを実施しております。
オフィスホワイトニングは歯科クリニックにて行われるホワイトニングの事で、ホワイトニング剤に光を照射し、短期間で治療が済み、いち早く効果が実感できるというのが特徴です。

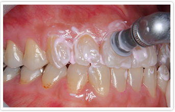
当院ではビヨンドライト※を用いた「ビヨンドシステム」を導入しています。ビヨンドシステムによるオフィスホワイトニングでは、はじめに十分に納得のゆくまでカウンセリングをし、ホワイトニングする為の検査をしてから治療に入ります。
カウンセリングを終えた後、歯の汚れを除去し薬剤を歯に塗布します。その後上の写真のような形で、熱を発しない安全な光を照射します。歯の汚れを除去して光照射が済むまで約1時間程度で終わります(照射時間には個人差があり、必ずしもその限りではありません)。をお勧めします。

※ビヨンドライトは、パワーの強いハロゲン光を使用しており、特許取得済みの特別なフィルターで、この強いパワーを維持しつつ、熱を抑制していますので、非常に安全です。
(2)で御紹介した「紫外線」の防御の写真と比較すると、ビヨンドライトを用いると、マウスピースを口に装着するだけで簡単にホワイトニングにのぞめるのが御理解いただけると思います。
>>ビヨンドライトの写真はこちら

|
include("inc/subject.inc"); ?> |